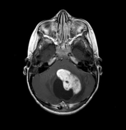
Juvenile Pilocytic Astrocytoma

It is another type of brain tumor that occurs more commonly in children than adults. This tumor is not the most common, but it is remarkable because it has a survival rate of 96% after 5 years, which is one of the highest in any brain tumor. This one is not a solid mass but instead a fluid-filled tumor, often called a cyst. It is a benign tumor with a very slow growth, and it does not spread to other areas of the brain.
It usually appears in the cerebellum or the brainstem, and give out symptoms such as headaches, seizures, nausea, and vomiting. Depending on the location they can cause vision problems, hormonal changes, balance and coordination problems, and many other symptoms.